Nuovo appuntamento con “Sorrisi consapevoli”, la rubrica del nostro giornale, promossa in collaborazione con la Clinica Dentistica Calandrino di Castelvetrano, dedicata alla cura e alla prevenzione della salute dentale. Oggi trattiamo il tema dell’igiene orale e gengive sanguinanti, problema tanto comune quanto sottovalutato.
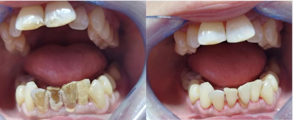
Uno stile di vita sano influisce sul benessere generale della nostra persona, in particolare sulle condizioni della bocca e del sorriso. Il sorriso è “la curva più bella di ogni persona” ma spesso, se osserviamo con attenzione, noteremo che il nostro sorriso ci sta dicendo che qualcosa non va. Pigmentazioni (macchie) causate principalmente da nicotina, caffeina, teina; placca (si forma subito dopo aver mangiato) composta da batteri che normalmente vivono nella bocca e sostanze provenienti dal cibo; tartaro (giallastro o marroncino) solidificazione della placca che si accumula; gengivite (infiammazione gengivale) caratterizzata da arrossamento delle gengive e sanguinamento; parodontite (malattia dei tessuti di sostegno del dente) può portare alla perdita del dente stesso.
Tutti questi fattori sono un campanello di allarme per salute del cavo orale. Le gengive sane non sanguinano, quindi vedere del sangue quando si lavano i denti o si utilizza il filo interdentale deve farci riflettere.
Cosa fare quindi per evitare che tutto ciò accada:
– Spazzolare i denti dopo ogni pasto principale per almeno due minuti;
– Stilizzare ausili interdentali, quali filo o scovolino, per eliminare i residui di cibo tra un dente e l’altro;
– Fare uno sciacquo con un collutorio non troppo aggressivo, una volta al giorno;
– Seguire uno stile di vita sano e una corretta alimentazione;
– Eseguire controlli periodici dal tuo dentista;
– Effettuare 1/2 igieni (pulizia dei denti) all’anno dal tuo igienista o dentista di fiducia.

AUTORE. Gerardo Cardellicchio












